Why Do Teeth Wear Down? Causes, Signs and Treatment Options

Tooth wear is a common dental condition involving the gradual loss of tooth structure over time. Unlike tooth decay, tooth wear is not caused by bacteria, but by physical or chemical factors that affect the enamel and dentine. Early diagnosis and appropriate management are important to prevent further damage and maintain long-term oral health.
At Surry Hills Dental Care, tooth wear is assessed carefully to identify the underlying cause and determine the most suitable treatment.
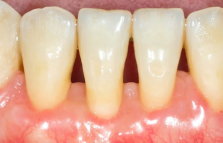
Gum Disease and Age: What Changes Over Time

Gum disease becomes increasingly common with age and is one of the leading causes of tooth loss in adults. While ageing does not directly cause gum disease, long-term plaque build-up, gum recession, and reduced immune response significantly increase risk over time.
At Surry Hills Dental Care, our experienced Sydney dentists regularly diagnose and treat gum disease in adults who were unaware they had a problem.
The Connection Between Oral Health and Systemic Disease

Gum disease (periodontal disease) is a chronic inflammatory condition caused by harmful bacteria in dental plaque. When gums are inflamed or bleeding, bacteria can enter the bloodstream and travel to other parts of the body. This is why untreated gum disease has been linked to several systemic health conditions.